痛くないできものは放っておいてもいい?口内のできものの原因やリスクを解説
2025/10/20

こんにちは、綾瀬の歯医者、新井歯科医院です。
口の中にできものができることはめずらしくありません。
だからこそ、痛みなどがなければ、「そのうちよくなるだろう」と見過ごしてしまう方も多いのではないでしょうか。
しかし、痛みの有無にかかわらず、口内にできた変化には注意が必要です。
今回は、口の中にできるさまざまなできものについて、それぞれの特徴や原因、放置した場合のリスクを解説します。
口の中にできるできものの種類
アフタ性口内炎

アフタ性口内炎は、一般的によく見られるタイプの口内炎です。
白くて丸いできものの周囲が赤く縁取られているのが特徴で、睡眠不足やストレス、疲れなどで体の抵抗力が弱まっているときに発生しやすい傾向があります。
一般的にアフタ性口内炎は10日から2週間ほどで自然に治ることが多く、特別な治療を必要としないケースがほとんどです。
ただし、治るまでに時間がかかる場合や、再発を繰り返している場合は、全身性疾患の症状の一部として現れていることもあるため、歯科や口腔外科を受診するようにしましょう。
カタル性口内炎

カタル性口内炎は、広範囲にわたって粘膜がただれたり、灼熱感を覚えたりする口内炎です。
味覚の変化や口臭の悪化を感じることもあります。
原因として多いのは、合わない入れ歯や矯正装置などの物理的刺激、熱い食べ物による火傷、うがい薬や歯磨き粉に含まれる成分による刺激です。
また、誤って頬や舌をかんだことで炎症が広がってしまう場合もあります。
症状は比較的軽度なことが多く、刺激を避けていれば自然に改善する場合がほとんどですが、痛みが強かったり長引いたりするようであれば、刺激の原因を見つけて取り除く必要があります。
ヘルペス性口内炎

ヘルペス性口内炎は、単純ヘルペスウイルスの感染によって起こるウイルス性の炎症です。
乳幼児や幼児に多く見られますが、成人でも免疫力が低下しているときに発症します。
また、はじめて感染した場合には、発熱やだるさ、食欲の低下など、全身的な症状を伴うことが多いのが特徴です。
口の中の症状としては、小さな水ぶくれや潰瘍が多数でき、唇や歯ぐきにも炎症が広がることがあります。
見た目は口内炎に似ているため、初期の段階では区別がつきにくいこともありますが、痛みが強く、飲食や会話が困難になることが多い点が特徴です。
再発する場合は症状が比較的軽く、同じ場所に繰り返しできることもあります。
粘液嚢胞
粘液嚢胞は、唇や舌の裏、頬の内側などにできるできもので、触れるとぷよぷよとした感触があるのが特徴です。
見た目は小さな水ぶくれのようで、痛みはほとんどない場合が多いですが、大きくなると違和感や食事中の不快感につながります。
主な原因は、唾液腺の出口が詰まったり、唾液腺自体が損傷していたりすることで唾液がうまく排出されずに溜まってしまうことです。
唇をかむ癖や外傷による刺激がきっかけとなることが多く、知らず知らずのうちに繰り返しできるケースもあります。
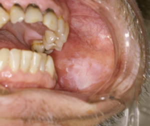
口腔がん

口の中にできるできものの中で、特に注意が必要なのが口腔がんです。
口腔がんは、舌や歯ぐき、口の粘膜に発生する悪性腫瘍です。
初期段階では自覚症状が少なく、痛みやしびれが出る頃にはすでに進行しているケースが少なくありません。
しこりが硬く触れたり、舌や歯ぐきが腫れたり、出血や口臭が現れることもあります。
口腔がんの発症には、長期間の喫煙や過度の飲酒が大きく関わっているとされています。
さらに、入れ歯や虫歯のかぶせ物が口内の粘膜を刺激し続けることもリスク因子の一つです。
加えて、歯周病による慢性的な粘膜の炎症も、発症への影響が指摘されています。
口腔扁平苔癬

口腔扁平苔癬は、口の中の皮膚や粘膜にできる炎症性の角化性病変です。
頬の内側や舌、唇などに白くて細長い線が網目状に現れるのが特徴で、びらんや潰瘍ができることもあります。
原因としては、歯科用金属のアレルギーや遺伝的素因、ストレスなどが関与していると考えられていますが、発症メカニズムはまだ十分に解明されていません。
白板症

白板症は、歯ぐきや舌、頬の粘膜にできる白色の板状または斑点状の角化性病変で、口腔がんへ進行するリスクが高いとされる病変です。
触れた際に痛みを感じたり、食べ物がしみたりすることもありますが、痛みを伴わないケースも多く、歯科検診で初めて発見されることもあります。
特徴としては、白い板状の範囲が徐々に広がり、硬く盛り上がっていて擦っても取れない点が挙げられます。
発症には、義歯の不適合や歯の金属の詰め物による粘膜刺激、ビタミンA・Bの不足、喫煙習慣などが関連しているといわれています。
フィステル

フィステルは、歯の根の先端に膿がたまった場合に、その膿を外に排出するために歯ぐきにできる排出口のことです。
「サイナストラクト」や「瘻孔(ろうこう)」「内歯瘻(ないしろう)」と呼ばれることもあります。
膿を外に排出するため、押すと血や膿が出ることがありますが、痛みはあまり伴わないことが多いのが特徴です。
フィステルは、主に歯の神経を抜いた歯や、歯根が割れてしまった歯で起こりやすく、治療をしなければ繰り返し再発してしまいます。
放置すると炎症が広がり、さらなる痛みや腫れ、骨の破壊を引き起こすリスクもあります。
根尖性歯周炎
根尖性歯周炎は、歯の内部にある神経が壊死し、そこに細菌感染が起こることで、歯の根の先端部分に炎症が起きる病気です。
症状が進行すると、膿が歯ぐきの表面に現れてフィステルが形成されたり、歯ぐきに穴が開いたりすることもあります。
原因としては、虫歯の進行による神経の壊死や、外傷による歯の損傷、歯ぎしりや食いしばりによる歯根の破折などが挙げられます。
治療は、根管治療によって感染した神経組織を取り除き、根の内部を消毒し密閉することで、炎症の拡大を防ぎます。
治療を怠ると周囲の骨にまで炎症が広がり、抜歯が必要になることもあります。
できものを放置するリスク
口内のできものは、痛みや腫れがひどくない場合は放置しても問題ないように思われがちですが、時間の経過とともに大きくなることで、発音や咀嚼、飲み込みなど、日常生活に支障をきたす可能性があります。
また、できものが口の中の目立つ場所にある場合、食事や歯磨きの際に傷つきやすく、そこから感染を起こすリスクも高まります。
さらに、一部の良性腫瘍は長期間放置されることで悪性化する可能性もあります。
できものができた場合の受診の目安

口の中にできものができたからといってすぐに医療機関を受診する人は少ないかと思いますが、中には見逃してはいけない病気が隠れているケースもあります。
痛みが強い場合や長期間治らない場合、出血を伴ったり、舌の粘膜に変色が見られたりする場合は、医療機関を受診するようにしましょう。
まとめ
口の中にできるできものの種類や原因は、さまざまです。
中には悪性化するものもあるため、症状の変化や痛みの有無をしっかり観察し、異変を感じたら早めに歯科医院を受診しましょう。